STRESZCZENIE
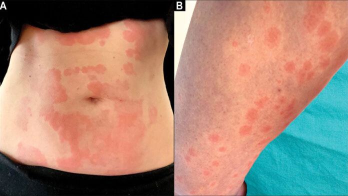
COVID-19 (Coronavirus Disease 2019) to nowa jednostka chorobowa wywołana przez koronowirusa SARS-CoV-2 (Severe Acute Respiratory Syndrome-CoV-2). Po raz pierwszy została zdiagnozowana w Wuhan w Chinach. Wysoka zakaźność, niska wirulencja i bezobjawowe przenoszenie spowodowało szybkie rozprzestrzenienie się poza granice geograficzne prowadząc do pandemii. Wybuch COVID-19 został uznany za stan zagrożenia zdrowia publicznego o zasięgu międzynarodowym, a w następstwie ogłoszony jako pandemia o zasięgu światowym. SARS-CoV 2 to wirus otoczkowy złożony z jednoniciowego RNA i należy do rodziny koronawirusów. Wirus wnika do komórek poprzez znajdujący się na powierzchni komórek receptor enzymu konwertującego angiotensynę 2 (ACE2). Płuca są głównym miejscem zakażenia COVID-19, wśród pacjentów objawy zaliczane są od łagodnych, grypopodobnych, po ostre zapalenie płuc. Podczas przebiegu COVID-19 zdiagnozowano również wiele objawów skórnych.
Celem artykułu było przedstawienie na podstawie dostępnej literatury wybranych dermatoz skórnych u pacjentów z COVID-19. Podłoże tych zmian nie jest do końca poznane i wymaga dalszych badań.
Słowa kluczowe: koronawirus, dermatozy skórne, COVID-19
Skin diseases accompanying COVID-19 infection – literature review
ABSTRACT
COVID-19 is a new disease entity caused by the SARS-CoV-2 coronovirus. It was first diagnosed in Wuhan, China. Its high rate of infectivity, low virulence, and asymptomatic transmission have caused it to spread rapidly beyond geographic boundaries, leading to a pandemic. The COVID-19 outbreak was identified as a public health emergency of international concern following a declared global pandemic. SARS-CoV 2 is an enveloped virus composed of singlestranded RNA and belongs to the coronavirus family. The virus enters cells through the angiotensinconverting enzyme receptor 2 (ACE2) on the surface of the cells. The lungs are the main site of COVID-19 infection, with symptoms ranging from mild, flu-like to fulminant pneumonia in patients. Patients have also been diagnosed with multiple cutaneous manifestations during the course of COVID-19.
The aim of the article was to present, based on the available literature, selected skin disorders in patients with COVID-19. The basis of these changes is not fully understood and requires further research.
Keywords: coronavirus, skin diseases, COVID-19
- Zakład Technologii Środków Leczniczych
Śląski Uniwersytet Medyczny w Katowicach
ul. Poniatowskiego 15
40-055 Katowice
M: +48 506 809 982
E: sarawin@op.pl - Katedra i Zakład Chemii Klinicznej i Diagnostyki Laboratoryjnej
Śląski Uniwersytet Medyczny w Katowicach
ul. Poniatowskiego 15
40-055 Katowice
M: +48 517 251 023
E: derkacz.alicja@gmail.com
Sara Winkler (1), Alicja Derkacz (2)
Pełna wersja artykułu: Kosmetologia Estetyczna. 2020;9(5):89-92
Artykuł ukazał się w Aesthetic Cosmetology and Medicine. 2020;9(5):431-434
Sposób cytowania: Winkler S, Derkacz A. Skin diseases accompanying COVID-19 infection – literature review. Aesth Cosmetol Med. 2020;9(5):431-434. https://doi.org/10.6084/m9.figshare.1315096
Inne wydania KE oraz ACM w wersji drukowanej lub cyfrowej dostępne w sklepie KE
Kosmetologię Estetyczną kupisz również w sieci Empik



