STRESZCZENIE
Reumatoidalne zapalenie stawów jest chorobą autoimmunologiczną o nieznanej etiologii. Dotyka głównie stawów dłoni oraz stóp. Jest to choroba nawracająca, która nie jest wyleczalna.
Celem pracy było przedstawienie różnic pomiędzy zdrową, a chorą stopą oraz postępującej degradacji stawów w wyniku pogłębiającego się schorzenia.
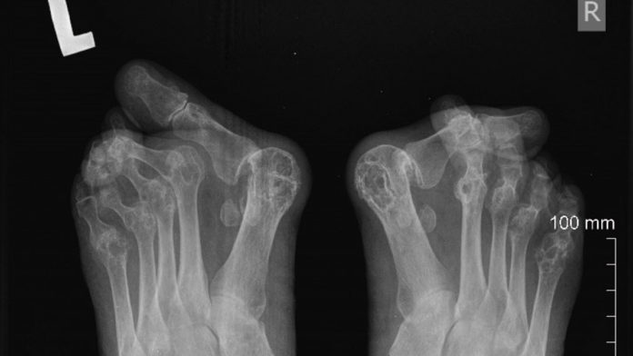
Postępujące RZS prowadzi do wielu zmian w obrębie stawów, najczęściej występującymi są: halluxy, palce młotkowate oraz płaskostopie podłużne i poprzeczne. Bardzo często dochodzi do zwichnięć w obrębie stawów paliczkowo-śródstopnych. Wszystko to składa się na problemy z przetaczaniem stopy, co może doprowadzać w konsekwencji do inwalidztwa.
Słowa kluczowe: reumatoidalne zapalenie stawów, stopa, hallux, leczenie
Rheumatoid arthritis in the lower limb – case report
ABSTRACT
Rheumatoid arthritis is an autoimmune disease of unknown etiology. It mainly affects the joints of the hands and feet. It is a recurrent disease that is not curable.
The aim of the study was to present the differences between a healthy and unhealthy foot and the progressive degradation of joints as a result of a progressing disease.
Progressive RA leads to many joint changes. Halluxes, hammer-toes and longitudinal and transverse flat feet are the most common. Very often there are dislocations within the phalanges and metatarsal joints which may result in problems with the rolling of the foot, which may lead to disability as a consequence.
Keywords: rheumatoid arthritis, foot, hallux, treatment
Joanna Trojanowska, Izabela Rodak
Wyższa Szkoła Nauk o Zdrowiu w Bydgoszczy
ul. Jagiellońska 4
85-067 Bydgoszcz
M: +48 723 254 603
E: joannapodologia@gmail.com
Pełna wersja artykułu: Kosmetologia Estetyczna. 2020;9(1):71-77
Inne wydania KE w wersji drukowanej lub cyfrowej dostępne w sklepie KE
Kosmetologię Estetyczną kupisz również w sieci Empik



