STRESZCZENIE
Jedną z najpopularniejszych metod niwelowania oznak starzenia skóry twarzy są zabiegi iniekcyjne z zastosowaniem nieusieciowanego kwasu hialuronowego.
Celem badania była ocena skuteczności terapii z wykorzystaniem iniekcji dwóch preparatów kwasu hialuronowego o wysokiej masie cząsteczkowej oraz analiza ich wpływu na grubość i właściwości skóry z oznakami starzenia u czterech kobiet w wieku 35-46 lat.
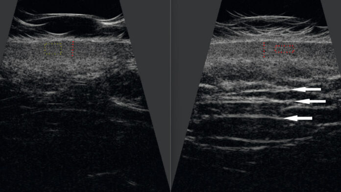
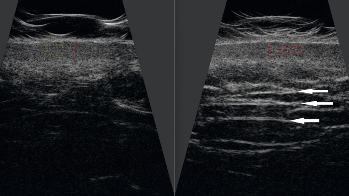
Terapia przyniosła poprawę nawilżenia, elastyczności i jędrności skóry, wspierając jednocześnie jej naturalne procesy regeneracyjne. Potwierdzono to utrzymującym się wzrostem grubości i gęstości skóry właściwej. Uzyskane efekty były trwałe i widoczne jeszcze co najmniej miesiąc po zakończeniu serii zabiegów.
Słowa kluczowe: starzenie, terapie przeciwstarzeniowe, iniekcje, nieusieciowany kwas hialuronowy, grubość skóry
Clinical evaluation of the effect of non-crosslinked hyaluronic acid injections on skin parameters with signs of aging. Case study
ABSTRACT
One of the most popular methods of reducing the signs of facial aging are injection treatments using non-crosslinked hyaluronic acid.
The study aimed to evaluate the effectiveness of a therapy using injections of two high molecular weight hyaluronic acid preparations and to analyze their influence on the thickness and properties of skin with signs of aging in four women aged 35-46.
The therapy improved skin hydration, elasticity, and firmness, while supporting its natural regenerative processes. This was confirmed by a sustained increase in the thickness and density of the dermis. The effects obtained were longlasting and visible for at least one month after the end of the treatment series.
Keywords: aging, anti-aging therapies, injections, noncrosslinked hyaluronic acid, skin thickness
Adrian Karamon, Izabela Karamon
Centrum Medyczne „Tu się leczy”
ul. Norwida 3/U2
80-280 Gdańsk, Polska
M: +48 573 569 955
E: adrian.karamon@gmail.com
Pełna wersja artykułu: Kosmetologia Estetyczna. 2025;14(6):83-90
Artykuł ukazał się w Aesthetic Cosmetology and Medicine. 2025;14(4):149-156
Sposób cytowania: Karamon A, Karamon I. Clinical evaluation of the effect of non-crosslinked hyaluronic acid injections on skin parameters with signs of aging. Case study. Aesth Cosmetol Med. 2025;14(4):149-156. https://doi.org/10.52336/acm.2025.022
Inne wydania KE oraz ACM w wersji drukowanej lub cyfrowej dostępne w sklepie KE
Kosmetologię Estetyczną kupisz również w sieci Empik




